Специалистами отделения сосудистой хирургии Гродненской университетской клиники проведена уникальная операция по удалению аневризмы сонной артерии

Фото из архива П. Горячева.
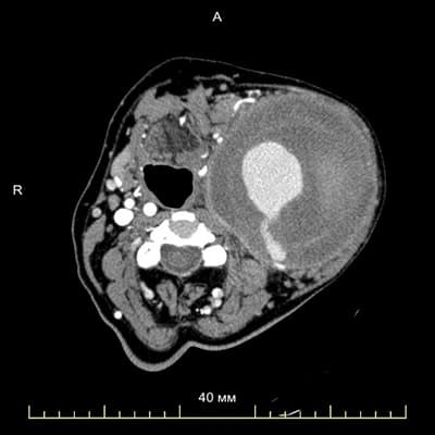
В отделении сосудистой хирургии Гродненской университетской клиники ежегодно выполняют не менее 700 вмешательств на разных участках кровотока. Хирургами отделения была проведена уникальная операция по удалению аневризмы сонной артерии диаметром 12–13 см. При анализе медицинских источников за последние 20 лет не нашлось описания случаев удаления аневризмы такого размера не только в нашей, но и в европейской практике.
История болезни 75-летней пациентки — длиной в 13 лет. Женщина обнаружила у себя на шее образование в виде небольшого шарика, обратилась к сосудистым хирургам, которые выполнили УЗИ и контрастную мультиспиральную КТ, выявили аневризму размерами около 4 см и направили к коллегам в Минск. Поскольку аневризма располагалась в очень неудобном месте, женщину предупредили, что риск летального исхода при проведении операции высок.
Пациентка отказалась от хирургического вмешательства. Долгое время размеры аневризмы оставались без изменений, и женщина не обращала внимания на визуальный дефект, но 4 года назад аневризма начала постепенно увеличиваться. Образование стало вызывать немалый дискомфорт: появились выраженные головные боли, а затем с инсультом пациентка была госпитализирована в отделение неврологии ГрУК.
Павел Горячев, заведующий отделением сосудистой хирургии клиники:
Даже небольшая аневризма, то есть расширение участка сосуда с истончением его стенки, чревата разрывом и кровотечением и многократно повышает риск возникновения ишемического инсульта.
Учитывая наличие гигантской аневризмы сонной артерии, возникших серьезных осложнений, а также высокую вероятность повторного ишемического инсульта с тяжелыми последствиями, мы предложили пациентке операцию. Отказ от нее в такой ситуации — это путь к очередному инсульту и в конце концов к летальному исходу. У 75-летней женщины была и сопутствующая патология, повышающая риски (ИБС, артериальная гипертензия). Но гипертензия была компенсирована и не повлияла на выбор тактики.
Для того чтобы определить объем вмешательства и правильный выбор доступа, была выполнена мультиспиральная компьютерная томография с контрастированием грудной аорты и сосудов шеи.

Павел Горячев:
Первоочередная задача, которая стояла перед нами, — спланировать, каким доступом лучше добраться до пораженного участка сонной артерии и безопасно отделить аневризму, не повредив другие структуры.
Аневризма была плотно сращена с окружающими тканями, ее отделение от других сосудов, нервов, мышц гортани, подчелюстной области шейного отдела позвоночника выглядело достаточно сложным.
К тому же аневризма не была полностью тромбирована, кровоток в ней присутствовал, и малейшее ее повреждение при проведении операции могло вызвать профузное кровотечение. Поэтому для обеспечения доступа не исключали выполнение стернотомии с пережатием левой общей сонной артерии для контроля.
При ревизии в начале операции хирурги выявили, что в стернотомическом доступе нет необходимости. Удалось выделить короткий участок сонной артерии и взять его под контроль. Таким образом, обошлись менее травматичным шейным доступом и гораздо меньшим объемом вмешательства.
Операция длилась около 2 часов. Для вмешательства такого уровня и сложности, отмечает Павел Горячев, это совсем недолго. В первые часы после операции пациентка пришла в сознание, общалась с врачами. Послеоперационное восстановление прошло отлично. Сейчас пациентка приходит в клинику в рамках пролонгированного наблюдения.
Фото из архива П. Горячева.
Источник: medvestnik.by
Комментарии закрыты.