Если синус «уснул»… Ателектаз верхнечелюстной пазухи

Фото Татьяны Русакович, «МВ».
Ателектаз верхнечелюстной пазухи в быту чаще называют синдромом молчащего (немого, спящего) синуса. Не каждому врачу общей практики, да и не каждому оториноларингологу приходится встретиться в своей практике с этим не самым распространенным заболеванием. Но в РНПЦ оториноларингологии пациентов с таким синдромом оперируют нередко, ведь люди приезжают сюда со всей страны. Так, заведующий приемным отделением РНПЦ, хирург с 25-летним стажем Дмитрий Мальцев в год проводит примерно 20 подобных вмешательств.
Причины
Дмитрий Мальцев:
Спящий, или молчащий, синус — это состояние, при котором верхнечелюстная пазуха (ВЧП) не сообщается с внешним миром, не работает, поскольку у нее закрыто вентиляционное отверстие. С течением времени пазуха вдавливается внутрь, то есть происходит коллапс синуса. Из-за этого меняется форма лицевого скелета — глазное яблоко смещается книзу и внутрь, заметно впадение щеки.
Причин возникновения ателектаза много, самая частая, на мой взгляд, — невылеченный синусит. Был у ребенка синусит, недолечили, недомыли нос, слизь осталась, сузила просвет вентиляционного отверстия — развился синдром. Проблема чаще всего касается гайморовых пазух, но в моей практике бывали и другие случаи.
Теоретически, как говорит Дмитрий Александрович, причиной ателектаза может быть и аллергия, точнее, острая аллергическая реакция на какое-то вещество. Опять же, больше теоретически, проблема может быть врожденной, поскольку доктор видел в своей практике пазухи такого маленького размера, что предположение о том, что синдром или серьезная предрасположенность к нему у человека с рождения, совсем не беспочвенны.
И все же недолеченный синусит — самая вероятная причина синдрома спящего синуса. По словам специалиста, проблема в том, что обычно ателектаз ВЧП протекает бессимптомно, и, без сомнения, есть люди, которые так и не узнают о ней, если, конечно, не возникает воспаления. А так человек привыкает к некоторым особенностям своей внешности или просто не замечает их, жалоб нет, получается, что и проблемы нет.
Диагноз
Дмитрий Мальцев:
Крайне редко, через долгое время после возникновения синдрома, пазуха меняет свои размеры, форму, конфигурацию, положение. К примеру, у пяти-шестилетнего ребенка появился ателектаз ВЧП, но только через несколько лет родители замечают несимметричное строение лица. Ребенка начинают обследовать и обнаруживают молчащий синус — здоровая пазуха, например, 5 сантиметров в высоту, а проблемная — 2 или 3 см. Но такое обычно можно заметить только при грубых деформациях скелета.
Иногда проблему выявляют случайно, когда делают компьютерную томограмму либо снимки по каким-то другим причинам. Например, пациента направляют на снимок перед тем, как лечить зубы либо их протезировать, или у человека долгое время болит голова (обычно с синдромом спящего синуса это не связано), и его направляют на МРТ. А бывает, что человек нашел какую-то информацию в интернете, начитался и решил сделать КТ или МРТ себе либо ребенку.
Примерно 60 % пациентов Дмитрия Александровича — дети. Хирург только во время операции видит и удаляет оставшуюся в пазухе слизь, а перед этим открывает пазуху, закрытую слизистой оболочкой либо сжатую, а то и вовсе сросшуюся.
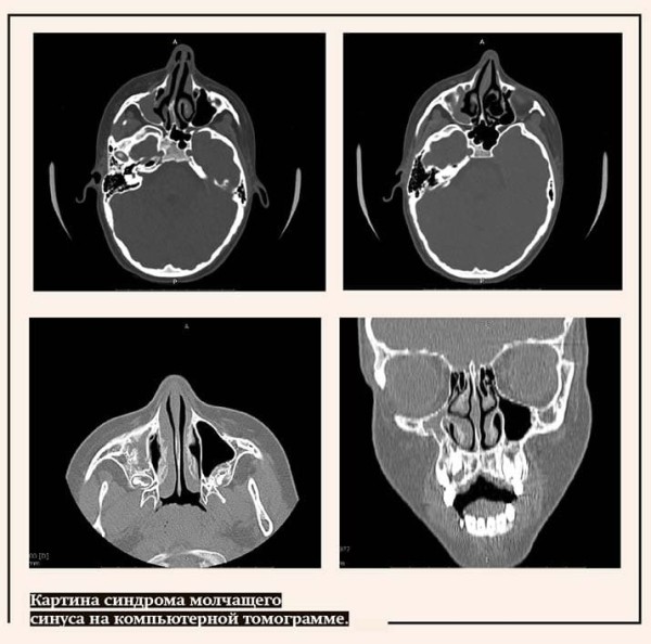
Что касается диагностики, то у синдрома молчащего синуса есть очень характерные черты, по которым его легко определить, глядя на результаты, к примеру, компьютерной томографии. В отличие от любого воспаления, при котором внутри пазухи давление повышено, а значит она увеличена, стенки ее выпучены, при молчащем синусе давление низкое и стенки пазухи вдавлены. Понятно, что и воспаление, и ателектаз могут сочетаться, но снимок все покажет.
Вмешательство
Дмитрий Мальцев:
Даже если у пациента нет жалоб, связанных с синдромом молчащего синуса, врачи настойчиво рекомендуют операцию. Функционально пазуха должна выполнять определенную роль, должна работать, она, например, участвует в окраске речи, а из-за того, что верхнечелюстная пазуха закрыта, может возникнуть гнусавость.
Плюс наличие патологического субстрата в замкнутом пространстве — это бомба замедленного действия, которая может рано или поздно рвануть. Если разовьется воспалительный процесс, то никто не сможет сказать, чем это закончится, ведь для продуктов воспаления, гноя нет выводного отверстия, начинаются боли, распирания. Не скажу, что такое случается часто, но зачем рисковать?
Эндоскопическая операция, как говорит специалист, весьма малотравматична (всего несколько миллиметров). Прооперированная пазуха тут же начинает функционировать без каких-либо проблем в дальнейшем.
Дмитрий Мальцев:
Эндоскопическая хирургия носа, пазух, — это моя любимая тема. Опыт, а его немало у меня и моих коллег, позволяет выполнить чисто хирургическую работу за 3–5 минут. Это, конечно, если ничто не мешает, пациент стабилен, нет кровотечения, патологических изменений. Бывает, что обнаруживаем какие-то другие проблемы, о которых, впрочем, узнаем обычно, еще глядя на результаты КТ.
Это может быть истинное хроническое воспаление, киста, полип, мицетома (хроническое воспаление грибковой природы), встречается воспаление, вызванное проросшим в пазуху зубом. Проблемы, разумеется, устраняем сразу же, даже исправляем искривленную носовую перегородку у взрослых, у детей — только в исключительных случаях, поскольку они еще растут и им такое вмешательство показано позже.
Таким образом, пациент под наркозом находится совсем недолго, восстановление проходит быстро, но, поскольку операция проводится в зоне остиомеатального комплекса, который обильно снабжается кровью, а значит теоретически после вмешательства в любой момент может начаться кровотечение, прооперированного на несколько дней оставляют в стационаре под наблюдением. В дальнейшем медики рекомендуют пациентам сделать компьютерную томограмму через полгода-год, прийти на прием. Прогноз таких вмешательств очень хороший.
Дмитрий Мальцев:
Это классический случай обнаружения ателектаза верхнечелюстной пазухи. Даже рентгеновский снимок не всегда может быть достаточно информативным, на нем видно, что пазуха затемнена, но без деталей.
Думаю, только опытный рентгенолог может заподозрить именно ателектаз. В идеале, если подозрение возникло, нужно направить пациента на КТ. К слову, современная конусно-лучевая компьютерная томография по силе облучения сопоставима с обычным рентгеном, но ее информационная ценность гораздо выше.
Если у пациента рецидивирует одна и та же проблема, и на рентген-снимках врач не в первый раз видит одну и ту же картину, конечно, нужно направлять человека на томографию. Но если пациент первичный, у него острая инфекция, то смысла давать такое направление, наверное, нет. Думаю, врачу в поликлинике поможет сравнение того, как пациент выглядит на старых снимках и каким он видит человека у себя на приеме, если, конечно, родители или взрослый пациент принесут такие снимки, когда сами что-то заподозрят, заметят асимметрию лица, западение глазных яблок.
Елена, мама пациента:
Проблему у моего 11-летнего сына обнаружили случайно. Он начал часто болеть — один риносинусит за другим. Температуры у ребенка не было, боли, в общем, тоже, он ощущал боль только при нажатии пальцами в определенном месте.
Педиатр из детской поликлиники направила ребенка к лору, которая назначила антибиотик, потом другой, третий. Это не помогало, хотя ребенок чувствовал себя совершенно нормально, его на то время уже и насморк не беспокоил, а рентгеновские снимки по-прежнему показывали затемнение. В общем, мы были у нескольких врачей, сделали КТ.
А в консультативной поликлинике РНПЦ оториноларингологии, куда мы, наконец, пришли, диагноз стал абсолютно ясен. Сейчас ждем операцию, которая назначена на конец года. Раньше я, кстати, не замечала асимметрии в лице сына, а когда врач показала (там разница в один сантиметр), то уже не могу «развидеть», а вот те, кто этого не знают, проблемы обычно не замечают. Рада, что мы обнаружили синдром вовремя. Главное, конечно, здоровье, а насчет операции я спокойна.
Фото Татьяны Русакович, «МВ», и из архива Д. Мальцева.
Источник: medvestnik.by
Комментарии закрыты.